Our Smile Gallery

Explore our before-and-after gallery to see the transformations our patients have experienced

Reclaim Your Smile!

Struggling with dental issues can be painful, frustrating, and impact your confidence—but you’re not alone, and there’s hope. At Laramie Dental Arts, we’re proud to help our patients reclaim their comfort and their smiles. Browse these real before-and-after photos to see the difference expert care can make. Your healthiest, most confident smile is possible—and we’re here to help you achieve it.
Dental Implant Clinic

Smile Gallery: Transformations That Inspire

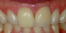
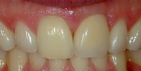
Dental Implant

Before
Dental Implant Before
After
Dental Implant After

Before: Patient needs a single tooth replacement of an upper front tooth.

After: Smile and function restored with a Single Implant and a Porcelain Crown (Cap) and abutment that attaches securely to the implant.

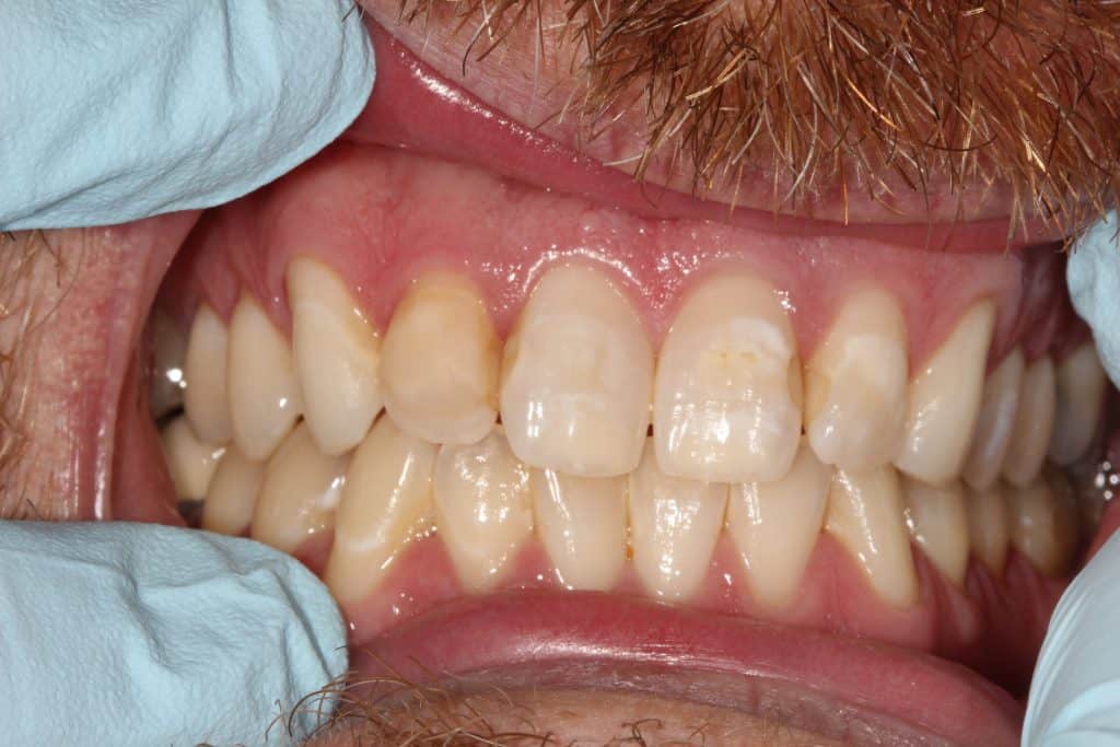
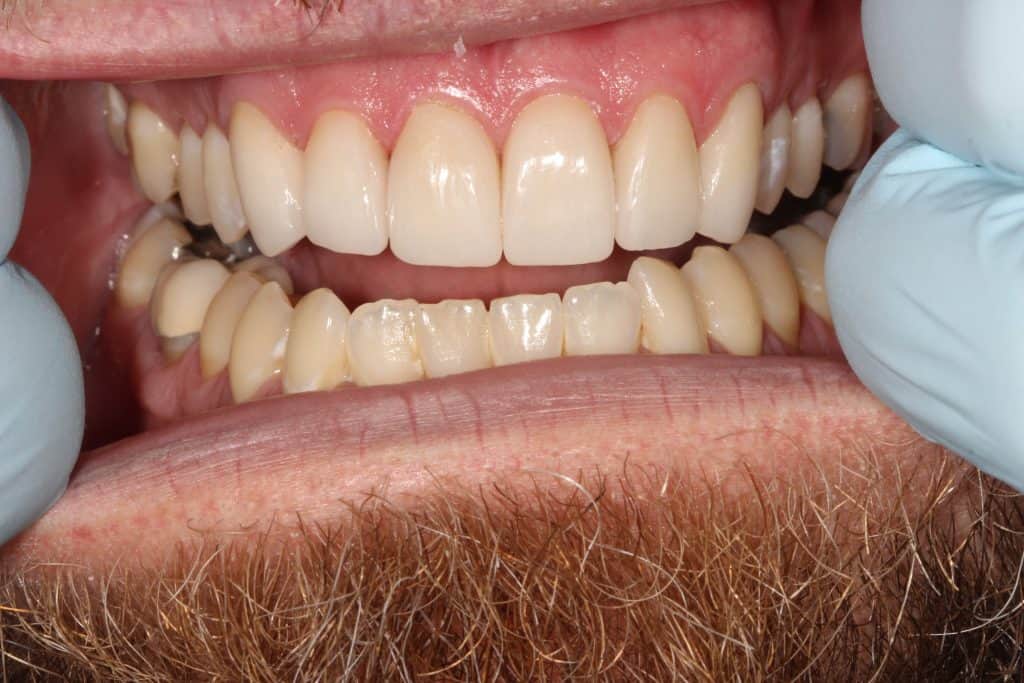
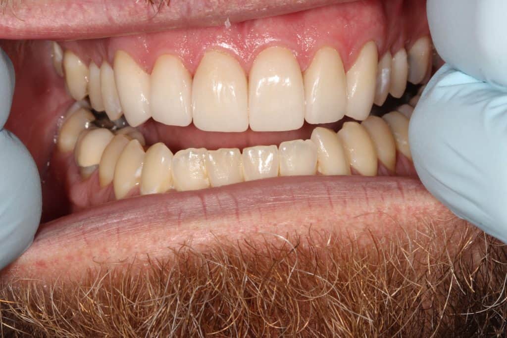
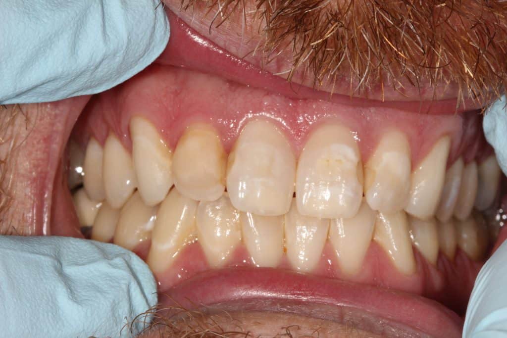
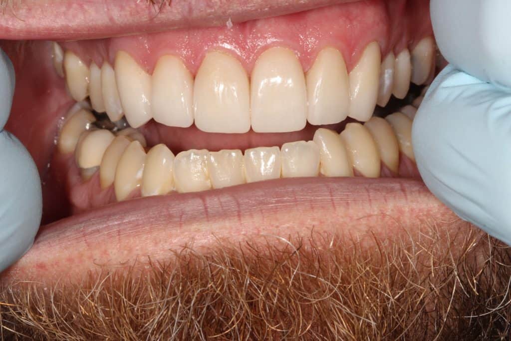
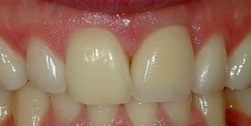
Dental Crowns

Before
Crowns Before
After
Crowns After

Before: Patient was unhappy with the color and contour of all front teeth. They had many discolored restorations with secondary decay.

After: Restored all upper front teeth with porcelain crowns. The result is a very natural and color consistent smile.

Dentures

Before
Upper Denture Before
After
Upper Denture After

Before: Patient had lots of failing dentistry throughout the entire mouth. She wanted a smile she could be proud of at an affordable price.

After: With an upper denture, the patient received a great smile, increased chewing function, and facial tissue support.

Ready to Love Your Smile Again?